Диета при остеомиелите челюсти

Диета при остеомиелите челюсти
Картинка - Острый миелит нижней челюсти - фото презентацияКартинка 2: Острый миелит нижней челюсти - фото презентация
Картинка - Остеомиелит челюсти: что это такое, симптомы, причины, лечение, фотоКартинка 3: Остеомиелит челюсти: что это такое, симптомы, причины, лечение, фото
Картинка - Тегретол 100 Мг – TelegraphКартинка 4: Тегретол 100 Мг – Telegraph
Картинка - Кардиомагнил Цена 75 Мг 15.2 – TelegraphКартинка 5: Кардиомагнил Цена 75 Мг 15.2 – Telegraph
Картинка - Вигантол Раствор – TelegraphКартинка 6: Вигантол Раствор – Telegraph
Картинка - 6.05. Одонтогенный остеомиелит челюстных костей - Стр 2Картинка 7: 6.05. Одонтогенный остеомиелит челюстных костей - Стр 2
Картинка - Остеомиелит челюсти - причины, симптомы, диагностикаКартинка 8: Остеомиелит челюсти - причины, симптомы, диагностика
Картинка - ОстеомиелитКартинка 9: Остеомиелит
Картинка - Остеомиелит челюсти | Хорошая СтоматологияКартинка 10: Остеомиелит челюсти | Хорошая Стоматология
Картинка - Челюсти | это... Что такое Челюсти?Картинка 11: Челюсти | это... Что такое Челюсти?
Картинка - Blog Archives - perksblogsКартинка 12: Blog Archives - perksblogs
Картинка - Доза Клиндамицина При Остеомиелите Челюсти – TelegraphКартинка 13: Доза Клиндамицина При Остеомиелите Челюсти – Telegraph
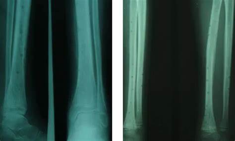
Картинка - Рентгенограмма, КТ, МРТ при хроническом остеомиелитеКартинка 14: Рентгенограмма, КТ, МРТ при хроническом остеомиелите
Картинка - Классификация остеомиелита: хронический, острый, гематогенныйКартинка 15: Классификация остеомиелита: хронический, острый, гематогенный
Картинка - Антибиотики при остеомиелите челюсти у кошекКартинка 16: Антибиотики при остеомиелите челюсти у кошек
Картинка - Остеомиелит челюсти: симптомы, диагностика и лечение | Все о суставах иКартинка 17: Остеомиелит челюсти: симптомы, диагностика и лечение | Все о суставах и
Картинка - Остеомиелит челюсти. клиника и диагностика остеомиелитаКартинка 18: Остеомиелит челюсти. клиника и диагностика остеомиелита
Картинка - Остеомиелит: причины, симптомы, диагностика и лечениеКартинка 19: Остеомиелит: причины, симптомы, диагностика и лечение
Картинка - Операции при остеомиелите: виды, показания, восстановлениеКартинка 20: Операции при остеомиелите: виды, показания, восстановление
Картинка - Секвестрэктомия при остеомиелите что этоКартинка 21: Секвестрэктомия при остеомиелите что это
Картинка - Остеомиелит челюсти: виды, признаки, лечение и профилактикаКартинка 22: Остеомиелит челюсти: виды, признаки, лечение и профилактика
Картинка - Остеомієліт щелепи: фото, причини, симптоми, лікування » журнал здоровКартинка 23: Остеомієліт щелепи: фото, причини, симптоми, лікування » журнал здоров
Картинка - Острый и хронический остеомиелит челюсти, симптомы и лечение - Medside.ruКартинка 24: Острый и хронический остеомиелит челюсти, симптомы и лечение - Medside.ru
Картинка - Что такое остеомиелит челюстиКартинка 25: Что такое остеомиелит челюсти
Картинка - Некроз зубов 26 фотоКартинка 26: Некроз зубов 26 фото
Картинка - Читайте о Остеомиелит челюсти что этоКартинка 27: Читайте о Остеомиелит челюсти что это
Картинка - Доза Клиндамицина При Остеомиелите Челюсти – TelegraphКартинка 28: Доза Клиндамицина При Остеомиелите Челюсти – Telegraph
Картинка - Остеомиелит челюстиКартинка 29: Остеомиелит челюсти
Картинка - Остеомиелит челюсти: причины, симптомы, диагностика и лечениеКартинка 30: Остеомиелит челюсти: причины, симптомы, диагностика и лечение
Картинка - Остеомиелит челюсти: виды, признаки, лечение и профилактикаКартинка 31: Остеомиелит челюсти: виды, признаки, лечение и профилактика
Картинка - Патологические процессы, способствующие перфорации верхнечелюстной пазухиКартинка 32: Патологические процессы, способствующие перфорации верхнечелюстной пазухи
Картинка - Остеомиелит челюсти: симптомы, лечение, диагностикаКартинка 33: Остеомиелит челюсти: симптомы, лечение, диагностика
Картинка - Презентация на тему: "Rusderm.Ru СӨЖ Балалар жақсүйектерінің әртүрліКартинка 34: Презентация на тему: "Rusderm.Ru СӨЖ Балалар жақсүйектерінің әртүрлі
Картинка - Острый гематогенный остеомиелит костей - симптомы, лечение и диагностикаКартинка 35: Острый гематогенный остеомиелит костей - симптомы, лечение и диагностика
Картинка - Причины, признаки и лечение остеомиелита челюстиКартинка 36: Причины, признаки и лечение остеомиелита челюсти
Картинка - Симптомы остеомиелита челюсти в зависимости от этиологии и формыКартинка 37: Симптомы остеомиелита челюсти в зависимости от этиологии и формы
Картинка - Одонтогенный остеомиелит челюсти презентация, доклад, проект на темуКартинка 38: Одонтогенный остеомиелит челюсти презентация, доклад, проект на тему
Картинка - Остеомиелит челюсти: виды, признаки, лечение и профилактикаКартинка 39: Остеомиелит челюсти: виды, признаки, лечение и профилактика
Картинка - ЧЕЛЮСТИ — Большая Медицинская ЭнциклопедияКартинка 40: ЧЕЛЮСТИ — Большая Медицинская Энциклопедия
Картинка - Blog Archives - perksblogsКартинка 41: Blog Archives - perksblogs
Картинка - Доза Клиндамицина При Остеомиелите Челюсти – TelegraphКартинка 42: Доза Клиндамицина При Остеомиелите Челюсти – Telegraph
Картинка - Презентация на тему: "Рентгенанатомия верхней челюсти. Переломы верхнейКартинка 43: Презентация на тему: "Рентгенанатомия верхней челюсти. Переломы верхней
Картинка - Остеомиелит челюсти: причины, симптомы и лечениеКартинка 44: Остеомиелит челюсти: причины, симптомы и лечение
Картинка - Операции при остеомиелите: виды, показания, восстановлениеКартинка 45: Операции при остеомиелите: виды, показания, восстановление
Картинка - Bony Lesions | IntechOpenКартинка 46: Bony Lesions | IntechOpen
Картинка - Операция при остеомиелите челюсти. Консервативное лечение остеомиелитаКартинка 47: Операция при остеомиелите челюсти. Консервативное лечение остеомиелита
Картинка - Операция при остеомиелите челюсти. Консервативное лечение остеомиелитаКартинка 48: Операция при остеомиелите челюсти. Консервативное лечение остеомиелита
Картинка - Микрофлора при одонтогенном воспалении остеомиелите и сепсисе - onlineКартинка 49: Микрофлора при одонтогенном воспалении остеомиелите и сепсисе - online
Картинка - Рентгенограмма, КТ при переломе нижней челюстиКартинка 50: Рентгенограмма, КТ при переломе нижней челюсти
Картинка - Микрофлора при одонтогенном воспалении остеомиелите и сепсисе - onlineКартинка 51: Микрофлора при одонтогенном воспалении остеомиелите и сепсисе - online
Картинка - Микрофлора при одонтогенном воспалении остеомиелите и сепсисе - onlineКартинка 52: Микрофлора при одонтогенном воспалении остеомиелите и сепсисе - online
Картинка - Микрофлора при одонтогенном воспалении остеомиелите и сепсисе - onlineКартинка 53: Микрофлора при одонтогенном воспалении остеомиелите и сепсисе - online
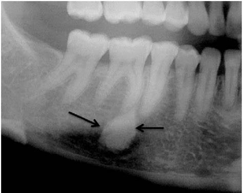
Картинка - Рентгенограмма, КТ при остеомиелите челюстиКартинка 54: Рентгенограмма, КТ при остеомиелите челюсти
Картинка - Рентгенограмма, КТ при остеомиелите челюстиКартинка 55: Рентгенограмма, КТ при остеомиелите челюсти
Картинка - Причины и обзор основных современных методов лечения остеомиелитаКартинка 56: Причины и обзор основных современных методов лечения остеомиелита
Картинка - Остеомиелит челюсти: классификация, причины, симптомыКартинка 57: Остеомиелит челюсти: классификация, причины, симптомы
Картинка - Рентгенограмма, КТ при остеомиелите челюстиКартинка 58: Рентгенограмма, КТ при остеомиелите челюсти
Картинка - Остеомиелит челюсти — причины, симптомы и лечение | Сайт поКартинка 59: Остеомиелит челюсти — причины, симптомы и лечение | Сайт по
Картинка - Диета при артрозе челюсти - Google DocsКартинка 60: Диета при артрозе челюсти - Google Docs